孩子牙齿长得不整齐,到底什么时候开始矫正是最佳时机呢?如果错过了最佳时间,是不是矫正效果会不好?做矫正要等牙齿换完? 视情况才能定!我们经常听到有人说,做矫正要牙齿换完之后才能开始,这句话只说对了一半,具体问题具体分析,根据孩子牙齿不齐的情况不同,矫正的时机也有差别。
乳牙期
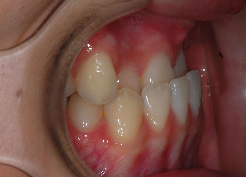
反颌宜早治。当孩子还是一口小乳牙时,只要能够合作,按医生要求戴用矫治器,就可以开始进行治疗了。大约三四岁即可开始。这个时期一般用活动矫治器,通常3~6个月就可将反咬在内侧的乳上前牙推出来。乳牙的移动,有可能带动根方的恒牙胚一起移动。所以有些反颌患者,经过乳牙期的治疗就能完全治好,不会有复发。

不良习惯引发了错颌宜早治,如吮下唇,咬指甲,吃大拇指,口呼吸等。由于这时小孩的发育很快,这些不良习惯很容易改变颌骨的发育趋势,将不良的颌骨发育定型下来。如果不及时纠正,不但影响颌面部的发育,而且大大增加了以后矫治的难度。不良习惯一经发现,及时采取一些方法,包括戴用矫治器,将不良习惯阻断,可以很大程度上避免医学上的困难,已形成的牙齿不齐,有一部分可能很快逆转。

替牙期
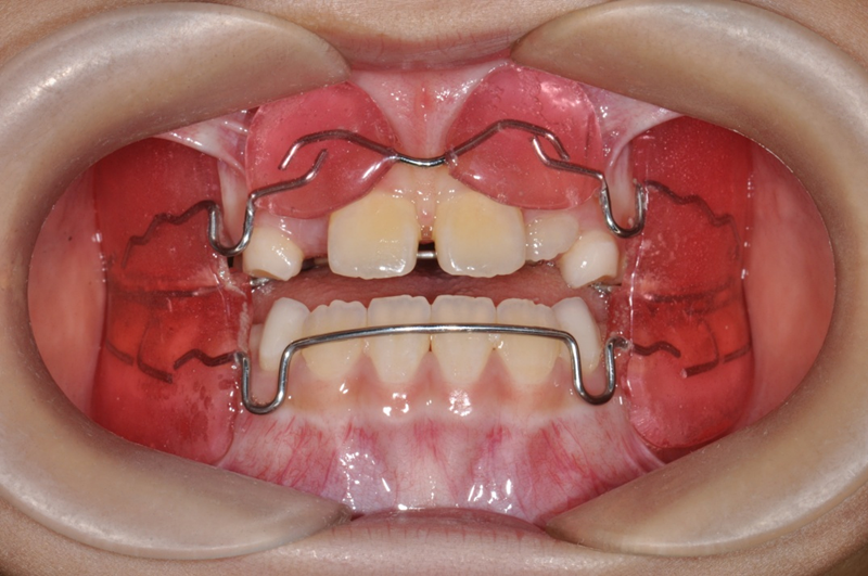
替牙期,孩子开始换牙,这个时期应该定期到医院检查,观察是否存在上下颌骨位置关系不调(如下颌后缩,地包天等),同时需要解决的问题还包括个别牙反颌,不良习惯如张口呼吸、咬下唇、咬手指、咬物等。早期解决不良习惯,能够避免一些牙齿错颌的出现。

对大多数人来说矫正牙齿的最佳时机是14岁左右,错过这班车的成人是否还有挽救的机会?错颌有一定的遗传性,当父母把孩子送到正畸医生处时,他们自己是否也能一同就诊?对于许多正畸医生来说,探索正畸的年龄极限无疑具有挑战性。成人缺乏发育的潜力,牙齿磨耗重,龋损残根多,牙周、关节症状明显,全身系统病多。成人到底多大岁数会失去正畸治疗的可能性?答案可能会令许多人惊讶,矫正牙齿,没有年龄限制。

大部分成人如果有正畸治疗的要求,又没有相关疾患,完全可以进行错颌畸形的正畸治疗。也就是说,如果一个老人,哪怕八九十岁,如果没有牙周、颞颌关节疾病,又不是骨性错颌,再加上迫切要求正畸,完全可以开始正畸治疗。当然,他的前半生牙周一定得维护好,没有不期望的牙齿脱落。
图文来源:口腔门诊部 邓妹
专家简介

杨珍,副主任医师,口腔门诊部负责人,口腔教研室主任,中华口腔医学会会员,广西口腔医学会正畸专业委员会委员,获得时代天使隐形矫治认证资格,发表论文10余篇,在广西壮族自治区人民医院口腔正畸科完成进修学习。从事口腔临床工作三十多年,擅长固定矫治技术,透明无托槽隐形矫治技术,微支抗钉植入技术。

肖亦芳,副主任医师,在职研究生,硕士学位;广西口腔医学会儿童专业委员会常务委员,预防专业委员会常务委员。从事口腔临床工作十余年,擅长儿童及青少年错合畸形的早期矫治技术;熟练掌握龋病、牙髓病、根尖周病等治疗,儿童牙外伤,牙体缺损的美容修复,乳牙大面积缺损预成冠修复及拔牙等口腔各种常见病、多发病的诊治及临床技能操作。主持及参与课题5项,发明专利3项,发表论文8篇。曾到华西口腔医院进修学习。

巫钟林,副主任医师。广西口腔医学会全科口腔医学专业委员会委员。中华口腔医学会会员。2018年到广西医科大学附属口腔医院进修学习。长期从事口腔临床及教学工作,基础理论扎实,临床经验丰富。熟练掌握各类口腔疾病的诊治及口腔急症的处理,擅长牙体牙髓疾病、牙周疾病、儿童牙病、牙列缺损的诊治与修复。