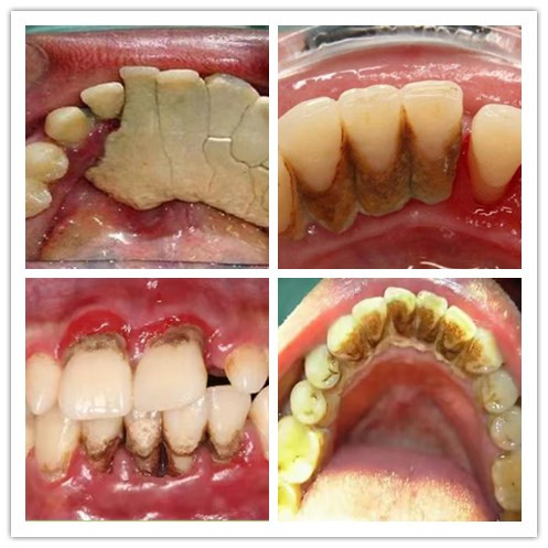
朋友聚会、上台演讲、谈判合作......我们总要笑脸相迎,绕不开交谈、吃喝,如果你的牙齿是这样的,前方高能,图片可能引起不适

牙龈肿痛、牙齿松动,咬物出血,你还能在聚会上侃侃而谈、大快朵颐吗?牙垢烟渍,黄牙黑牙,口腔异味,你还敢与客户畅谈合作,互利共赢吗?

如果是这样,那您该给牙齿洗个澡了。
为什么要洗牙?牙菌斑,是牙周疾病的“始作俑者”。虽然牙菌斑平时能被牙刷和牙线清洁掉,但在某些不易触及的角落,这些牙菌斑逃过一劫,最终钙化形成牙结石。牙结石表面非常粗糙,有利于牙菌斑附着,如此恶性循环,在牙面上结石越来越多。通过洗牙来清除牙结石是很有必要的,它可以有效地解决牙龈出血肿痛等问题。如果早期无视,不做处理,牙龈炎会逐渐发展为牙周炎,会不断“侵蚀”你的牙槽骨,像一棵树遇到土壤流失,继而出现松动直至脱落。

我们通常说的洗牙,专业术语叫龈上洁治术,是指用洁治器械去除牙龈上方肉眼可见的牙结石、菌斑和色素沉积,并抛光牙面,以延迟菌斑和牙石再沉积。如今,洁牙已越来越为人们所接受,可有传言洁牙时发出的抓心的噪音,让人心里七上八下,为此,我科开展舒适化洁牙,洗牙过程轻柔,几乎没有酸痛感,达到舒适化洁牙的良好体验。
普通洁牙与舒适化洁牙有什么不同?1、洗牙器械不同:舒适化洁牙使用的是更高端的超声波洁牙机,在洁治过程中,功率“按需分配”,最大程度地提高患者的舒适度。2、效果不同:舒适化洁牙包括超声洁牙和喷砂洁牙。超声洁牙去除菌斑、牙结石。喷砂洁牙可以去除牙齿上的软垢、烟渍和茶斑,以及一些平时刷牙清洁不到的角落,洁牙效果更细致、全面。喷砂抛光后的牙面光洁,减缓菌斑、牙结石的沉积速度。3、症状不同:舒适化洁牙在操作过程轻柔,几乎没有牙齿酸胀和疼痛的症状,可以实现在睡梦中完成洁牙的美好体验。无需打麻药,尤其适用于牙科恐惧症患者、儿童、正畸患者的牙齿清洁。


陈女士近日刷牙出血,自觉口臭,影响社交,近日来我科检查发现口内大量结石,需要进行洁治,由于从小就对牙科治疗非常恐惧,最后陈女士选择了舒适化洁牙。陈女士表示,舒适化洁牙洗牙过程几乎没有酸痛,且喷砂后牙面光滑,体验感很好。

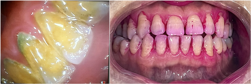
洁牙前,牙结石多,牙龈红肿,色素沉着

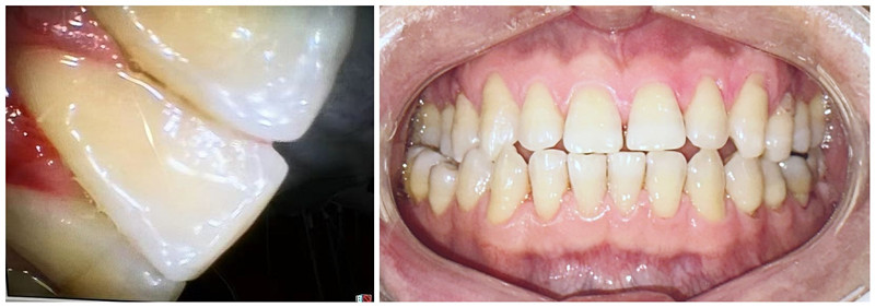
洁牙后,牙面光洁
无论选择哪一种方式进行洁牙,定期进行洁牙都可以将牙结石、牙菌斑清理掉,有利于预防牙周病,保持口腔健康,建议定期口腔检查,做好日常护理。平时越注重口腔健康,做好牙周维护,维护口腔健康的费用就越低;一拖再拖,治疗手段只会越来越复杂,付出的时间和金钱也成倍增加。所以,好好刷牙、定期洁牙,是最好的省钱方式。
专家简介

杨珍,副主任医师,本科学历,口腔门诊部负责人,口腔教研室主任,中华口腔医学会会员,广西口腔医学会正畸专业委员会委员,获得时代天使隐形矫治认证资格,发表论文10余篇,在自治区人民医院口腔正畸科完成进修学习。从事口腔临床工作三十多年,擅长固定矫治技术,透明无托槽隐形矫治技术,微支抗钉植入技术。

肖亦芳,副主任医师,在职研究生,硕士学位;广西口腔医学会儿童专业委员会常务委员,预防专业委员会常务委员。从事口腔临床工作十余年,擅长儿童及青少年错合畸形的早期矫治技术;熟练掌握龋病、牙髓病、根尖周病等治疗,儿童牙外伤,牙体缺损的美容修复,乳牙大面积缺损预成冠修复及拔牙等口腔各种常见病、多发病的诊治及临床技能操作。主持及参与课题5项,发明专利3项,发表论文8篇。曾到华西口腔医院进修学习。

巫钟林,副主任医师,本科毕业于广西医科大学。广西口腔医学会全科口腔医学专业委会委员。中华口腔医学会会员。2018年到广西医科大学附属口腔医院进修学习。长期从事口腔临床及教学工作,基础理论扎实,临床经验丰富。熟练掌握各类口腔疾病的诊治及口腔急症的处理,擅长牙体牙髓疾病、牙周疾病、儿童牙病、牙列缺损的诊治与修复。
图文来源 口腔门诊部卢美聪