“明眸皓齿、齿若编贝、粲然启玉齿……”一直以来,一口整齐洁白的牙齿似乎成为了美貌的标配,再美丽帅气的面庞和精致的五官,若配上一口稀疏发黄暗淡的牙齿,似乎也会变得黯然失色。在人们越来越在意牙齿外形的如今,贴面也逐渐走进了大众的视野,让大家的笑容更自信,更灿烂。
贴面是一种依靠粘接剂粘在牙齿表面的一层薄薄的修复体,用以实现牙齿美白、修复缺损以及改变牙齿形态的目的。相比较于一般的全冠修复体来说,贴面所需的牙体预备量——磨除牙齿量较小,约0.5-0.8mm甚至于可以不磨除牙体组织,如同为牙齿贴上了“美甲贴片”,是一种微创的牙齿美学修复方式。

什么样的牙齿适合做贴面?
1、牙齿颜色异常。牙齿颜色异常,如四环素牙、氟斑牙、牙齿发黄等,在没有牙体缺损的情况下,且通过冷光美白效果不佳时,可选择贴面修复来实现牙齿美白、均匀牙齿颜色的目的;值得注意的是,对于外伤后或根管治疗后的死髓牙引起的变色,是不适合做贴面修复的;
2、牙齿排列异常。如门牙的散在间隙——也就是常说的牙缝过大,或轻微的牙齿扭转,除了正畸矫治外,贴面也是一种常用的治疗方式;
3、牙齿形态异常。比如天生的过小牙、锥形牙、融合牙,以及由于后天外伤导致的小的牙体缺损、或饮食习惯导致的瓜子牙等等。

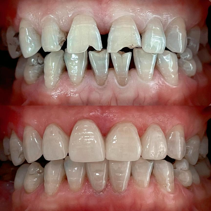
以下展示一例贴面修复前牙牙缝过大病例修复前后对比。该患者因上下门牙缝隙过大,色泽暗淡被困扰数年,笑起来很不自信,通过贴面修复后牙齿整齐,色泽自然亮丽,告别容貌焦虑,笑容好看而自信!

口腔门诊部修复案例
贴面修复后有哪些注意事项?
1.注意日常的饮食,与大家所担心的不同,其实贴面修复是很不容易脱落的,所以对于日常的米饭、蔬菜、水果等都是可以正常食用。但是像坚果、螃蟹腿、甘蔗,脆骨,骨头和牛皮糖等这些过硬过黏的食物,还是需要我们尽量避免的。除此以外,对于容易着色的食物、饮品,比如咖啡、浓茶等,也需要格外注意。
2.贴面的长期使用离不开患者对于口腔卫生的维持,每日早晚刷牙、日常牙线的使用、每年1-2次的牙齿洁治,都是有效的维护口腔清洁的好办法。
专家简介

杨珍,副主任医师,本科学历,口腔门诊部负责人,口腔教研室主任,中华口腔医学会会员,广西口腔医学会正畸专业委员会委员,获得时代天使隐形矫治认证资格,发表论文10余篇,在广西壮族自治区人民医院口腔正畸科完成进修学习。从事口腔临床工作三十多年,擅长固定矫治技术,透明无托槽隐形矫治技术,微支抗钉植入技术。

肖亦芳,副主任医师,在职研究生,硕士学位;广西口腔医学会儿童专业委员会常务委员,预防专业委员会常务委员。从事口腔临床工作十余年,擅长儿童及青少年错合畸形的早期矫治技术;熟练掌握龋病、牙髓病、根尖周病等治疗,儿童牙外伤,牙体缺损的美容修复,乳牙大面积缺损预成冠修复及拔牙等口腔各种常见病、多发病的诊治及临床技能操作。主持及参与课题5项,发明专利3项,发表论文8篇。曾到华西口腔医院进修学习。

巫钟林,副主任医师,本科毕业于广西医科大学。广西口腔医学会全科口腔医学专业委会委员。中华口腔医学会会员。2018年到广西医科大学附属口腔医院进修学习。长期从事口腔临床及教学工作,基础理论扎实,临床经验丰富。熟练掌握各类口腔疾病的诊治及口腔急症的处理,擅长牙体牙髓疾病、牙周疾病、儿童牙病、牙列缺损的诊治与修复。
图文来源:口腔门诊部 梁丹凤