越来越多的青少年儿童乃至成人患者来到口腔门诊部口腔正畸科咨询和治疗,希望解决一些错合畸形的问题,比如:龅牙、开唇露齿、牙齿不齐、地包天、开合、牙齿间隙过大等。
错合畸形是指在生长发育过程中,由先天的遗传因素或后天的环境因素(如疾病、口腔不良习惯、替牙异常等)导致的牙齿、颌骨、颅面的畸形。正畸治疗的方案应当针对不同年龄段不同错合类型“量齿定制,因人而异”。对处于替牙期青少年儿童患者,早期矫治可以更好的引导颌骨生长,改善颌骨发育畸形,矫正有害口腔习惯,创造更美观的牙列以及颌面外观。当然,随着正畸技术的发展,正畸治疗不再有严格的年龄限制,只要牙周情况健康,成人患者一样可以通过正畸治疗获得整齐的牙列和良好的侧貌。
以下为口腔门诊部部分正畸案例展示:
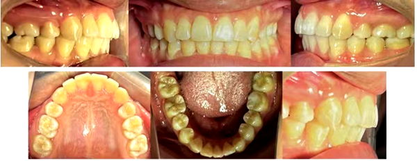
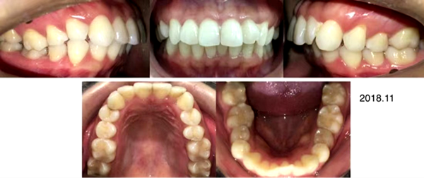
1、牙齿不齐,牙列拥挤
治疗前:

治疗后:

温馨提示:对于大多数牙列拥挤的患者,往往需要通过减数拔牙的方案,拔除牙列中一些牙齿获得空间从而排齐牙齿。
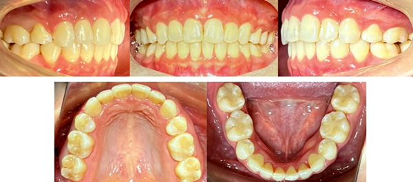
2、嘴突,咬合不良,希望通过牙齿矫正改善咬合以及改善面形。
治疗前牙齿咬合

治疗后牙齿咬合情况:

治疗前后侧貌得到明显改善:

温馨提示:有些患者牙齿整齐但是有“嘴突”的烦恼,希望通过矫正牙齿改善面形,当中也有相当一部分需要通过拔牙矫治来获得良好的矫治效果哦。
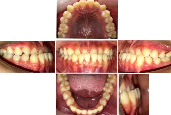
3、牙齿“地包天”,希望通过牙齿矫正改善咬合以及面形。
治疗前:

治疗后:

治疗前后面形得到明显改善:

温馨提示:有一部分正在换牙的小患者也会存在“地包天”的问题,对于这类患者应当尽早治疗,切不可抱着“不着急,等换完牙再治疗”的侥幸心理哦!
广西科技大学第一附属医院口腔门诊部口腔正畸科开展各类错合畸形的矫治,有专业的医护团队和丰富的临床经验,在广大病友中有良好的口碑,口腔正畸科的医护人员将竭诚为广大患者提供优质的口腔正畸医疗服务!
最后,祝每一位正畸患者都能通过专业的治疗获得整齐的牙齿、自信的笑容和灿烂的人生!(图文来源/口腔门诊部 廖健强)