不少人对洗牙存在普遍的误解,认为洗牙会导致牙松动、牙敏感、牙龈出血等。然而,正规的洗牙并不会出现这些问题,相反,洗牙是为了保持良好的口腔卫生,是预防口腔疾病进一步发展的首要措施。
什么是洗牙呢?洗牙,专业名称叫超声龈上洁治术,是指用洁治器械去除龈上牙石、菌斑和色渍,以延迟菌斑和牙石的沉积。洁治术是去除龈上菌斑和牙石最有效的方法。

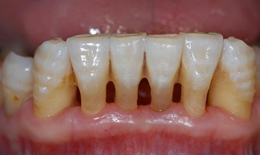
那么牙结石的危害有哪些呢?1、口臭。百分之八十的口腔异味都是源于口腔,牙周病是主要原因之一,减少菌斑是消除口臭的主要方法2、牙龈萎缩。牙石的长期堆积会压迫牙龈,使牙龈红肿、萎缩,牙缝变大,更进一步加重食物嵌塞。更易导致邻面龋的发生。3、牙松动。牙龈炎进一步加重发展成牙周炎,牙槽骨吸收,牙根暴露,牙齿越来越松,最终脱落。所谓“老掉牙”就是由牙石引起的。

4、牙根敏感。牙根暴露于外界当中,冷热酸甜刺激更为敏感,影响进食,吃啥啥不香。

洗牙,是一种重要的预防、检查以及治疗初期口腔疾病的手段。牙结石一旦形成,很难通过简单的刷牙去除,必须由专业医生用专门器械去除。除了日常正确的刷牙方式、餐后使用牙线,平时还需定时检查牙齿,一般半年到一年需洗一次牙。平时刷牙出血咬硬物出血的你很可能需要洗牙了!

洗牙的适应症:1、牙龈炎、牙周炎;2、预防性治疗:定期做洁治除去新生的菌斑、牙石,是维持牙周健康、预防龈炎和牙周炎发生或复发的重要措施;3、口腔其它治疗前的准备:修复缺失牙取印模前,口腔肿瘤手术切除前,正畸治疗前等。
温馨提示:1、洗牙后个别人短时间内会有点敏感酸痛,这些症状只是暂时的,通常2-3天就会消失,无需担心。2、洗完牙后牙龈可能会出血,这是因为口腔原有牙龈疾病导致暂时出血,一般2-3天牙龈即可恢复。3、洗牙后需保持良好口腔卫生,否则还是会有新的牙石沉积的,每天至少刷牙两次,每次3-5分钟。

(文字来源/口腔科 韦雪云)