近日,“东莞3人返工时患经济舱综合征身亡”登上微博热搜,引起社会广泛关注,事实上,“经济舱综合征”并非只有坐经济舱才会得。

广西科技大学第一附属医院胸心血管外科黄小龙主任介绍道:“经济舱综合征”其实是因为飞机机舱空间狭窄,活动范围有限,双腿长时间保持一个姿势,无法活动,引起的下肢静脉血流减慢、淤滞,从而形成血栓。除此之外,聚会打牌、久坐不动、喝水少、乘坐高铁、火车或长途自驾等引起下肢长时间静止不动而形成血栓的情况,也属于“经济舱综合征”的范畴。而“东莞3人返工时患经济舱综合征身亡”这个事件背后的凶手,正是肺栓塞!

在春节返工高潮期间“经济舱综合征”屡见不鲜。58岁的李女士,在四川老家过完年后一家人开车赶回东莞遇上堵车。到达象州服务区的时候,已经乘坐将近20个小时车程。李女士想下车活动一下,然而没走几步便发生了晕厥。忙慌中看到一辆救护车刚好从对面开过来便立即求助,不然后果不敢想象!
救护车上是象州县人民医院的急救人员,在对李女士进行积极抢救后立马转运回医院完善了检查,结果提示肺动脉栓塞,连夜送到广西科大一附院胸心血管外科治疗。入院后李女士疼痛不已,呼吸急促、大汗淋漓,血氧饱和度降低,胸心血管外科黄小龙主任评估后立即带领团队为李女士进行急诊下腔静脉滤网置入术+肺动脉吸栓术,历经一个小时手术便圆满成功。术后李女士呼吸、疼痛情况得到明显改善,血氧饱和度也恢复了正常,广西科大一附院凭借急、危、重症应急处理能力,让患者得到了及时有效的救治。

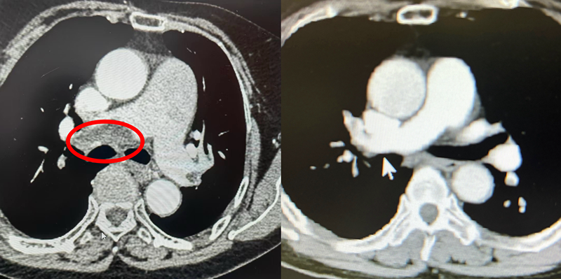
(治疗前后影像对比,肺动脉血栓明显减少)
在春节期间,胸心血管外科连续成功救治了4名肺栓塞患者!面对连续的急诊手术,全体医护人员严阵以待,坚守岗位,不敢有丝毫怠慢,始终把守护生命作为一份义不容辞的责任,为患者的生命安全筑起一道坚固的屏障。科室主任黄小龙介绍:肺栓塞是指血栓或其他物质堵塞肺动脉或其分支,导致肺循环灌注不足、肺泡通气不足,引起组织缺氧和肺功能障碍的一种疾病。肺栓塞的危害很大,它可能会导致急性呼吸衰竭、心力衰竭、肺梗死等严重后果,危及生命。总之,对待肺栓塞,早期识别危险因素并进行预防是关键!
肺栓塞的发病原因
肺栓塞的发病原因很多,主要包括下肢深静脉血栓、肝素诱导血小板减少症、恶性肿瘤、心脏病、外伤、手术操作等。其中,下肢深静脉血栓是导致肺栓塞最常见的原因。在下肢深静脉血栓刚刚形成的3周内,血栓非常不稳定,由于外界的挤压或自主活动,特别容易脱落。它会顺着静脉血流“跑到”股静脉、髂静脉、下腔静脉,再进入右心房、右心室、肺动脉,从而导致肺栓塞。

下肢深静脉血栓最爱的人群
肺栓塞的表现症状
肺栓塞的临床表现可从无症状到突然死亡。常见的症状为呼吸困难和胸痛,发生率均达80%以上。胸膜性疼痛为邻近的胸膜纤维素炎症所致,突然发生者常提示肺梗塞;膈胸膜受累可向肩或腹部放射,如有胸骨后疼痛,颇似心肌梗塞;慢性肺梗塞可有咯血;其它症状为焦虑,可能为疼痛或低氧血症所致,晕厥常是肺梗塞的征兆。

预防“经济舱综合征”,可以这样做!
1.避免久坐:旅途中适当活动,或者做一些转动脚踝的动作,收缩小腿和脚部肌肉来避免血流缓慢,不要只顾着睡觉看手机。
2.多喝水:一定要及时补充水分,尤其是乘坐国际航班经济舱的乘客。因为机舱里空气对流的原因,湿度低,本身水分就容易丢失,如果不及时补水,就会更容易导致血液粘稠。
3.穿着宽松:尽量避免穿过于紧身的衣裤鞋袜,穿着宽松舒适的衣物。高危人群可以选择穿着弹力袜,可有助于减少下肢静脉血栓的形成。
4.注意环境:尽量避免在拥挤、密闭的环境中久留,注意保持室内空气流通。
5.健康饮食:饮食应以清淡、易消化为主,避免摄入过多高脂肪、高热量食物。

胸心血管外科黄小龙主任提醒:“经济舱综合症”是一个需要我们高度重视的健康问题。了解它的存在、风险因素和预防措施,对于所有人来说都是至关重要的。如果在旅途中或之后出现腿部疼痛、肿胀、呼吸困难等症状,应立即寻求医疗帮助。记住,预防总是胜于治疗,愿我们在努力生活的同时,也不忘保护好自己的健康。