脑膜瘤是中枢神经系统常见的原发性肿瘤,约占中枢神经系统所有肿瘤的三分之一,每年每10万人群中约1~8位可能发生脑膜瘤。它好发于大脑半球的凸面、颅底和鞍旁区域等部位,大多数脑膜瘤是良性的,仅3%为恶性。多数脑膜瘤生长缓慢,患者往往无明显症状,很多是在颅脑影像学检查中偶然发现的。当瘤体增大压迫周围脑组织时,才引起相应的症状和体征。脑膜瘤的存在就像人身体里的“定时炸弹”,一直存在隐患,必须尽早“拆除”。一年前,51岁的彭先生就因一颗巨大的“定时炸弹”来到了广西科技大学第一附属医院神经外科寻求帮助。

2023年3月初,彭先生开始频繁出现头晕头痛、视力模糊、嗅觉减退等症状,于外院行头颅CT检查提示:前颅窝巨大占位。2023年3月25日,彭先生来到我院神经外科进一步就诊。神经外科李松年主任医师接诊后,迅速为彭先生完善核磁共振等相关检查。结果显示:彭先生颅内存在直径达70mm占位病变。考虑前颅底嗅沟巨大脑膜瘤。

肿瘤血供及其丰富,颈内、颈外动脉同时供血。巨大的瘤体已引起神经功能损害,手术指征明确。由于肿瘤位置特殊,与周围许多重要结构关系密切,手术难度高。神经外科手术团队与国内神经外科顶尖专家进行多次讨论,制定了周密的手术计划及预后诊疗方案并与患者及患者家属充分沟通。
很快到了手术这天,在李松年主任医师指导下,神经外科池超超副主任医师作为主刀医生,神经外科副主任医师周元鼓、住院医师金正怡作为助手,为彭先生进行了“开颅嗅沟脑膜瘤切除术”。术中见肿瘤与双侧大脑前动脉、视交叉、嗅神经紧密相连,视交叉被向后下压向垂体窝。在池超超副主任医师的精细操作下,成功切除颅内肿物。
在我院神经外科医师团队与麻醉科团队、护理团队通力合作下,手术顺利完成。术后3小时,患者完全恢复自主意识,对答自如,四肢活动正常。

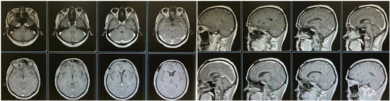
患者术前头颅MRI

患者术后头颅MRI
手术后复查患者头颅磁共振显示:脑肿瘤完全切除。患者完全恢复正常,头痛症状完全消失,视力有所改善,四肢活动自如,能够独立行走,顺利康复出院。

患者出院时,家属激动地说:“真的非常感谢你们能够完成这样高难度的手术,每个医护人员都尽心尽力为我们提供帮助。我们这次花费很少却看好了很难治的病!神经外科技术过硬,服务周到,值得信赖!”经过一年的跟踪随访,彭先生的身体恢复良好,视力恢复如前,病情控制非常成功,MRI和CT影像显示无肿瘤残留。患者及家属对治疗结果非常满意。
从此次手术效果和患者后续恢复情况来看,均显示出广西科技大学第一附属医院神经外科技术的成熟。目前,医院神经外科显微神经外科医疗技术达到了区内先进水平,能为百姓的健康提供更加优质的医疗服务。
文字提供:神经外科 陆良珊
图片提供:神经外科 池超超