深夜的监护室,警报声响起!一名老年男子因突发胸痛、呼吸困难被紧急送入我科,CT显示其肺动脉主干被巨大血栓“锁死”,命悬一线!危急时刻,广西科技大学第一附属医院胸心血管外科团队亮出“新武器”:国内首款肺动脉取栓支架系统Tendvia™,60分钟微创介入,成功打通“生命通道”。
【生死时速】当“沉默杀手”突袭,微创技术破局
急性肺栓塞,被称为“潜伏的致命炸弹”。血栓突然阻塞肺动脉,可导致心脏骤停,死亡率高达30%。传统治疗中,重症患者需大剂量溶栓药物,易引发大出血风险。患者潘先生,病情危重,生命岌岌可危。胸心血管外科主任黄小龙团队经科内讨论后决定为患者实施目前技术领先的“肺动脉支架取栓术”。针眼手术:仅通过大腿血管穿刺,将导管精准送至肺动脉;精准取栓:特制支架装置“捕获”血栓并抽吸清除,即刻恢复血流;快速康复:手术时间短,患者次日即可下床活动,并发症风险低。

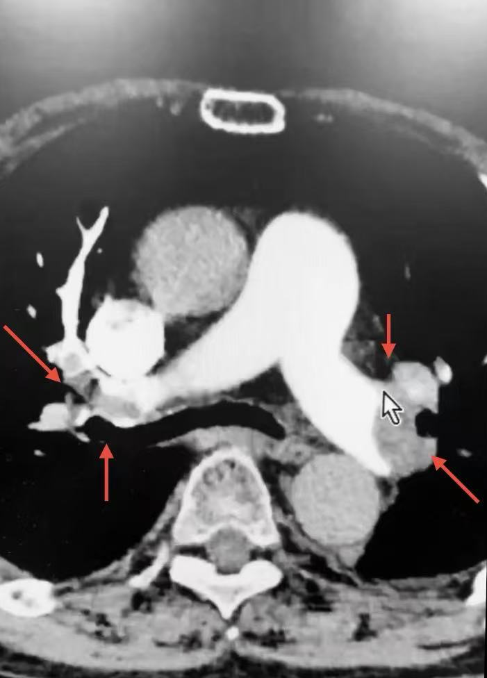
患者CT提示肺动脉主干血栓、双肺动脉主干及一、二级分支多发栓塞

黄小龙主任团队手术中

术中取出血栓
【技术突破】柳州首例!支架取栓术为何成为“救心密钥”?
“这项技术的核心,是以最小创伤实现最快血管再通。”胸心血管外科主任黄小龙教授介绍,团队采用的介入支架取栓技术有三大优势:
1. 时间就是生命:从确诊到手术完成仅2小时,为抢救赢得黄金窗口;
2.高危患者的福音:尤其适合溶栓禁忌、开胸风险高的患者;
3.远期预后更优:减少肺动脉高压等后遗症,提升生存质量。
【专家解读】这类人群需高度警惕肺栓塞!
肺栓塞并非“防不胜防”。长期久坐(如程序员、长途旅行者);骨折、术后卧床人群;肿瘤、孕产妇等高凝状态患者,皆为高危人群。

突发胸痛、呼吸困难、咯血,须立即就医!我院已开通“急性肺栓塞绿色通道”,24小时待命,争分夺秒守护生命。胸痛急救请拨打:0772-2522222。
【学科领航】深耕微创介入,我院胸心血管外科近年来持续突破,此次肺动脉支架取栓术的落地,再添“救心利器”。
专家介绍

黄小龙,副主任医师,胸心血管外科主任。擅长冠心病、心脏瓣膜病、先天性心脏病、肺癌、食管癌、纵隔肿瘤等疾病的外科手术治疗及胸腔镜等微创手术治疗。近几年在核心期刊共发表论文7篇,主持区卫计委科研项目1项。现任中国医师协会广西心胸外科分会第一、第二届委员。先后到广西区人民医院、广东省人民医院霍英东心脏中心、广西医科大学附属肿瘤医院进修。
图文来源 胸心血管外科 黄子平