在青春最美好的时光里,一场突如其来的疾病,险将17岁少女小潘的人生按下暂停键。幸运的是,广西科技大学第一附属医院神经外科团队的精湛医术,让她重新拥抱希望,迎来人生的“重启”。

2022年起,17岁少女小潘开始反复出现左侧颞部胀痛,还伴随着头晕。这些症状呈阵发性,不过能自行缓解,起初并未引起她和家人的太多重视。后来,头晕头痛的症状愈发严重,恶心呕吐频繁出现,记忆力和语言表达能力也明显下降,学习成绩更是一落千丈。2023年的一天,家人带她到医院就诊。经过详细的检查,头颅核磁共振检查显示,左侧额颞顶部巨大占位性病变,初步考虑为脑膜瘤。这个消息,犹如晴天霹雳,让小潘和家人陷入了无尽的担忧与恐惧之中。
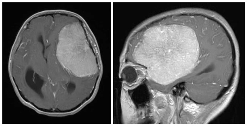
患者术前核磁共振
小潘的病情牵动着神经外科医护人员的心,从核磁共振检查结果上看,这颗肿瘤达到成人拳头大小,犹如一颗“定时炸弹”,埋在小潘的头部,也悬在神经外科医护人员的心上。因肿瘤较大,脑组织受压明显,手术难度极大,但神经外科团队没有丝毫退缩。在科室主任李松年主任医师的指导下,池超超副主任医师扛起主刀重任,他们反复研究病情,制定了周密的手术方案。
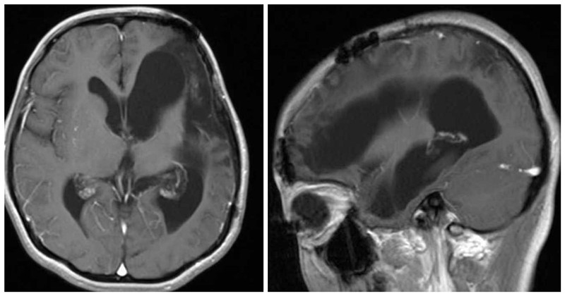
手术当天,时间仿佛变得格外漫长,手术医师聚精会神在显微镜下精细操作,整个手术持续了整整6个小时。每一分钟,都凝聚着医护人员的专注与付出;每一秒钟,都承载着小潘和家人的期待与希望。最终,在神经外科团队与麻醉科手术室团队的共同努力下,手术顺利完成,成功切除了“威胁”小潘生命健康的巨大肿瘤。切除的肿瘤大小达到了94mm×54mm×80mm。
患者术后核磁共振
术后,小潘在医护人员的精心照料下,逐渐恢复。休学1年后,她以顽强的毅力重返校园,继续追逐自己的梦想。如今,距离手术已经过去了2年,小潘回院复查,各项指标恢复良好,复查头颅磁共振脑肿瘤无复发。曾经被疾病困扰的少女,现在已经是一名高三学生,即将踏入大学殿堂,开启人生的新篇章。
看着小潘脸上洋溢着自信的笑容,我们深深感受到生命的顽强与医学的温度。在这场与病魔的较量中,我院神经外科的医护人员用精湛的医术和温暖的关怀,为小潘的人生按下了“重启键”,让她能够重新拥抱灿烂的阳光,追逐属于自己的星辰大海。未来的道路或许依然充满挑战,但我们坚信,勇敢的小潘一定能够在人生的舞台上绽放出更加绚丽的光彩!
文字提供:神经外科陆良珊
图片提供:神经外科池超超