近日,广西科技大学第一附属医院骨科二病区走廊的锦旗墙上又新添了两面金灿灿的锦旗,八旬老人谢阿公的康复之路,像一束光照亮了医患之间的真情,一字一句中都诉说着关于信任与守护的温暖故事。
年近八旬的谢阿公不慎跌倒后,强忍左髋、左上臂剧痛,固执地在轮椅上静坐了三天三夜。阿公身患高血压、糖尿病,并且疼痛及前列腺的问题,导致他每隔10分钟需要排尿一次,一次不超过50ml,寝食难安,但是任由家人怎么劝说,谢阿公都倔强地拒绝就医。三天后,实在是因为谢阿公身体非常虚弱了,才由家属用轮椅送至我院骨科二病区——赵顺吕团队病房。接诊时,查体看见患者左侧肢体被动体位,下腹部膨隆。
赵顺吕团队医生立刻联系泌尿外科会诊,患者诊断为急性尿储留、充溢性尿失禁,建议留置尿管。谢阿公一听到要留尿管,面对冰冷的医疗器械,立即拒绝,反复念叨:“不能有失尊严”,马上闹着要出院回家。家属怎么劝都没有用,这究竟是怎么回事?护士长杨秋秋随即与老人拉起了家常,了解到老人是入党多年的老党员,而且文化程度较高,所以对于“插尿管”这件事可能一下子在面子上承受不住。
另一方面,家属也被老人的倔脾气弄得不知所措,无奈的向医生求助:“能否强制麻醉插管?”这时候,杨秋秋护士长脱下了护士服,坐到老人的床边进行劝慰,只见她温柔地说:“阿公,我也是一名党员,党龄4年,您是我的老前辈,党员同志要实事求是,现在尿管就是您的‘关键一仗’,我们是不是应该科学‘作战’呢?”就这样,一场“新老党员之间的对话”,让阿公放下了心理防线,紧绷的眉头渐松,随着导管顺利置入,阿公长舒一口气:“小杨同志,感谢您,这里的治疗和护理有力量也有温度。”
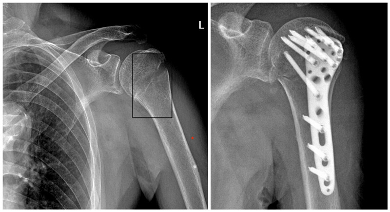
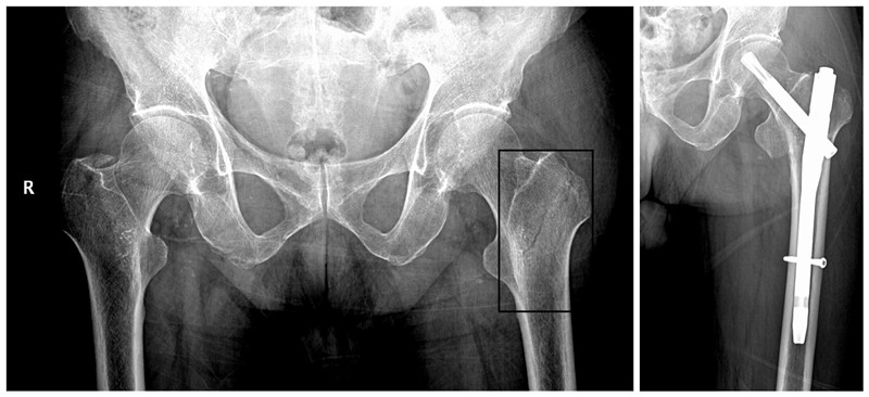
通过术前评估、血糖控制,在入院后的第三天赵顺吕医疗团队为患者进行了左肱骨切开复位内固定、左股骨转子间骨折闭合复位PFNA髓内钉手术。手术顺利结束,谢阿公返回病房,左臂的钢板与左腿的PFNA钉沉默地宣告着医学的胜利,但真正的考验才刚刚开始。病房里,时间被切割成无数个“第一次”:第一次抬腿时谢阿公额角的冷汗、第一次握紧助行器泛白的指节、第一次在护士搀扶下尝试重心转移时颤抖的呼吸……当谢阿公颤巍巍迈出第一步时,他的嘴角漏出了久违的微笑。


术前术后影像学

