近日,一位脑栓塞康复出院的林奶奶(化名)给我院神经内科送来了一面锦旗。感谢我院神经内科对她的脑栓塞的紧急静脉溶栓桥接脑动脉取栓术救治,这份诚挚的感谢背后,反映的是我院神经内科、卒中中心对脑血管方面急危重症训练有素、反应迅速的抢救能力。
时间回到11月29日晚,家属发现林奶奶意识模糊,问话不答,右侧肢体不能活动,随即向我院心血管内科学科带头人张林潮主任医师电话求助。张主任了解病情后初步判断是脑卒中,建议家属拨打120立即就诊。
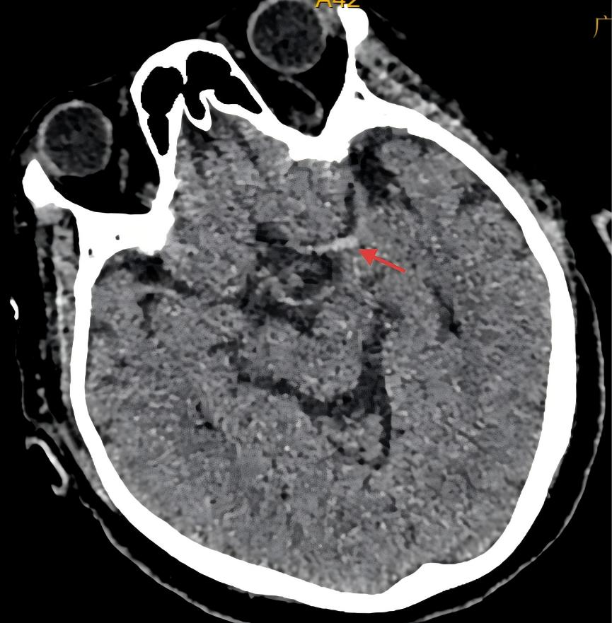
林奶奶到达急诊科时已处于昏睡状态,情况十分危急。急诊团队立即启动脑卒中绿色通道积极抢救,卒中团队医师熟练紧凑地询问病史、神经系统体格检查,快速完成头颅CT,CT结果提示“左侧大脑中动脉高密度影,考虑脑栓塞”。
此时林奶奶发病时间在3小时内,处于静脉溶栓及介入治疗时间窗内。神经内科陈洪乔副主任医师立即详细告知患者家属静脉溶栓及脑动脉取栓手术治疗的指征、必要性及风险。患者家属了解病情后积极配合治疗。神经内科立即予静脉溶栓治疗,溶栓过程中同步启动介入导管室。静脉溶栓过程中患者右侧肢体无力症状仍无改善,介入团队准备就绪后启动脑动脉取栓手术!

头颅CT提示左侧大脑中动脉高密度影(红色箭头)
深夜的介入导管室内,陈洪乔副主任医师及其团队熟练操作,快速完成造影。造影见左侧颈内动脉栓塞,术中予支架拉栓+抽吸,抽出两块暗红色血栓,再次造影显示左侧颈内动脉完全再通。介入团队仅一次操作就成功开通闭塞的血管,从穿刺成功到完全再通仅40分钟。

左侧颈内动脉闭塞(红色箭头)

取出的左侧颈内动脉血栓

完全再通的左侧颈内动脉
术后患者言语即刻恢复,右侧肢体肌力明显改善!静脉溶栓桥接脑动脉取栓术后第二天,林奶奶就可以下床活动,术后继续规范脑保护、抗血小板聚集、稳定斑块及康复等治疗。经过治疗,林奶奶一天天好转,出院前已如往常一般能活动自如!林奶奶及家属对此非常感激,以锦旗表示衷心的感谢!

林奶奶送来锦旗
这一次成功的静脉溶栓桥接脑动脉取栓案例对于广西科技大学第一附属医院卒中团队来说并不少见。该案例展现了我院卒中团队高效救治的能力及团结奋进的团队精神。
脑卒中是我国成人致死、致残的首位病因,发病急、危害大。挽救急性缺血性脑卒中最有效的“法宝”就是静脉溶栓及脑动脉取栓。这两个治疗手段都需要快速到达医院,一旦错过可能造成永久性神经损伤,甚至危及生命。因此,我们呼吁广大群众重视及知晓脑卒中的早期识别,避免延误最佳治疗时机。


温馨提示:一旦出现突发一侧肢体麻木、无力,口角歪斜、言语含糊或理解障碍、视物模糊、眩晕、行走不稳、意识障碍等症状,请立即拨打120!