“就像无数根针在扎,又像触电一样,吃饭、刷牙稍微碰到一下,右侧脸就痛得钻心……”回忆起两年前的生活,市民贾女士至今心有余悸。近日,广西科技大学第一附属医院神经外科团队在池超超副主任医师的带领下,在显微镜下成功为贾女士切除了位于“生命禁区”的“炸弹”,解除了困扰她两年的顽疾。

【病情回顾:难以忍受的“天下第一痛”】
两年前,贾女士无明显诱因出现右侧下颌部疼痛。起初,这种疼痛呈阵发性,常在进食或刷牙触碰面部时诱发,表现为闪电样、刀割样的剧痛,持续数秒后可自行缓解。
由于当时疼痛尚能忍受,贾女士并未引起足够重视。然而,随着时间推移,疼痛发作频率逐渐增加,程度也日益剧烈,严重影响了她的日常生活和睡眠。尽管自行服用“止痛药”试图缓解,但效果甚微,且病情呈进行性加重趋势。
【精准诊断:罪魁祸首竟是“颅内肿瘤”】
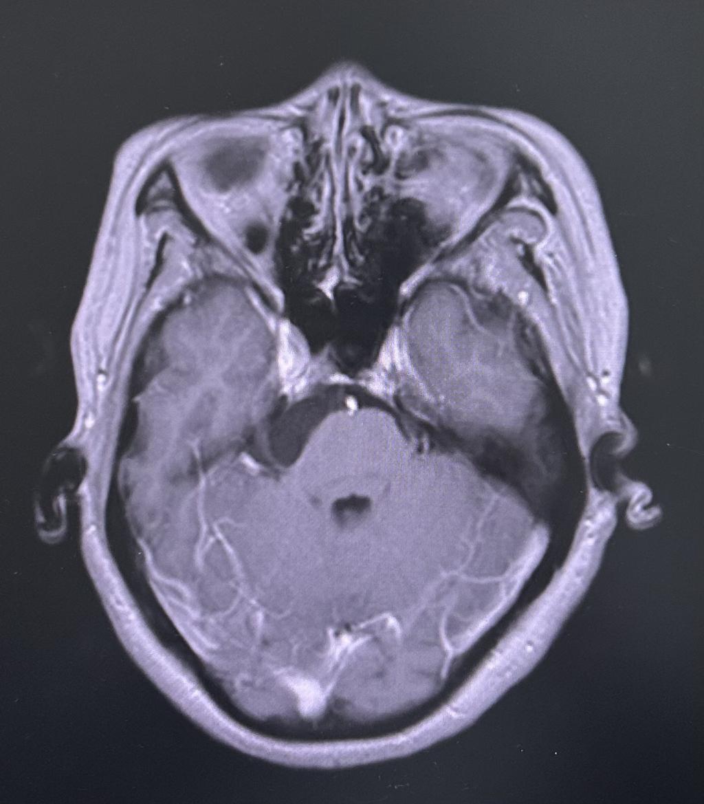
为求进一步治疗,贾女士慕名来到我院门诊就诊。门诊行颅神经-平扫(MR)提示:右侧桥小脑角区占位性病变,收治入神经外科住院治疗。


患者术前核磁共振影像
【多学科协作:制定周密“拆弹”计划】
神经外科主任李松年组织团队对贾女士的病情进行了深入研讨。池超超副主任医师介绍,桥小脑角区是颅神经和重要血管的密集区域,被称为神经外科的“兵家必争之地”。该区域空间狭小,肿瘤与面神经、听神经、三叉神经以及脑干、椎-基底动脉紧密粘连。
手术难点在于: 肿瘤与颅神经、血管及脑干比邻,且肿瘤包膜与周围神经血管粘连紧密,若手术中稍有不慎损伤神经,可能导致患者出现面瘫、听力丧失、吞咽困难甚至呼吸循环衰竭等严重后果。
为确保手术顺利进行,医院启动了多学科会诊(MDT)模式,神经外科联合麻醉科、影像科等相关科室进行了充分的术前评估和讨论,最终制定了“显微镜下经乙状窦后入路桥小脑角区占位切除术”的手术方案。


术中
【攻坚克难:精细操作下的“显微舞蹈”】
在完善术前准备后,手术如期进行。在麻醉科团队的密切配合下,池超超副主任医师主刀,在显微镜下在毫厘之间精准区分病灶与神经血管,如同在悬崖边跳舞般,将粘连紧密的肿瘤组织一点点剥离、吸除。最终,肿瘤切除满意,且周围的面神经、听神经及脑干功能完好无损。


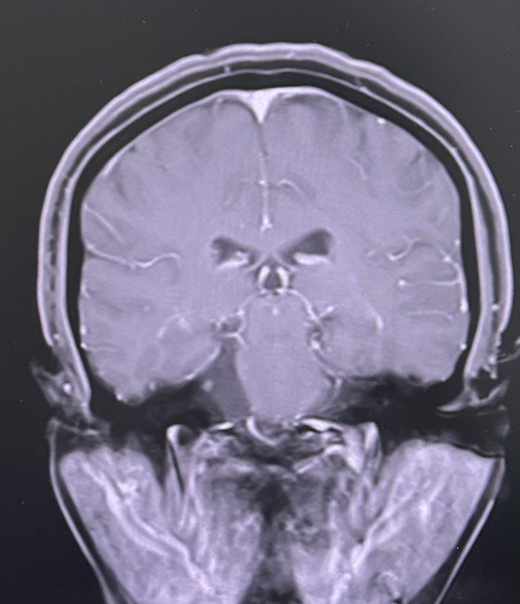
患者术后核磁共振影像
【术后恢复:重获新生,随访3月余无复发】
术后,在神经外科护理团队的精心照料下,贾女士恢复顺利。最让她开心的是,困扰她两年的“闪电样”剧痛彻底消失了,且没有出现面瘫、听力下降、偏瘫、吞咽困难等神经功能损伤并发症。出院后,贾女士回归了正常生活。经过3月余的定期随访复查,头颅MRI显示肿瘤无复发,贾女士的生活质量得到了显著提高。
【专家科普】
神经外科李松年主任医师提醒广大市民,三叉神经痛(常被称为“天下第一痛”)的病因复杂,如果出现面部反复发作的阵发性剧烈疼痛,切勿盲目长期服用止痛药,应及时到正规医院神经外科就诊。对于因颅内肿瘤(如表皮样囊肿、脑膜瘤等)引起的继发性三叉神经痛,手术切除肿瘤是根治的关键。广西科技大学第一附属医院神经外科具备成熟开展颅底肿瘤手术经验,能为广大神经系统疾病患者带来福音。