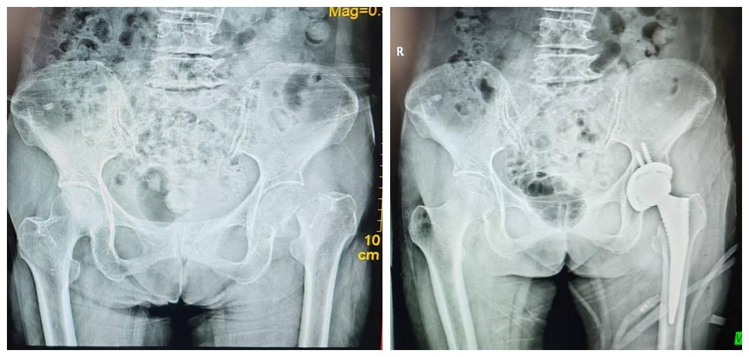
一场意外的在家摔伤,让79岁的莫阿婆陷入了“躺床望月”的困境,摔伤后阿婆无法站立,紧急送往我院拍X光片显示左侧股骨颈骨折,对于高龄老人而言,国外称作“人生最后一次骨折”,骨折不仅意味着需要长期卧床的痛苦,更潜藏着肺部感染等多种并发症的风险。近日,我院关节运动医学赵良军副院长、覃刚主任带领团队开展了医院首例侧卧位直接前方入路(Direct Anterior Approach,DAA)人工全髋关节置换术,手术从切皮、安装假体到皮肤缝合整个手术过程用时不到1小时,标志着我院在DAA微创全髋关节置换技术领域达到区内先进水平。

【案例介绍】
“当时就听到‘咔嚓’一声,之后腿就动不了,疼得直冒汗”,回忆起摔倒的瞬间,莫阿婆仍心有余悸。急诊科诊断为左侧股骨颈骨折,入住我院关节运动医学病区(骨一科),完善相关检查,考虑到阿婆年近八旬,身体状况虚弱,科室讨论决定采用国际前沿的DAA入路行全髋关节置换术,术前相关检查未见明显禁忌症后,于2025.12.31在全麻下行侧卧位DAA全髋关节置换术,整个手术过程行云流水,从皮肤切开到假体安装完毕,仅用时30多分钟,术中出血少、视野清晰,假体位置及稳定性均良好,术后6小时即可扶助行器下床活动,实现了“早下床、早康复”的终极目标,家属对手术效果赞不绝口。

【科普知识】
DAA入路是近几年来全髋关节置换领域新兴的微创入路方式,其核心优势在于经“肌肉间隙入路”,无需切断髋关节周围的重要肌肉,通过肌肉间隙进行手术操作,完美保留了髋关节的力学稳定性。与传统手术入路等相比,侧卧位DAA入路具有明显优势:一是创伤更小,切口仅6-8cm,术中出血少,术后疼痛轻;二是早期下地、恢复更快,因肌肉未受损伤,患者术后清醒即可下床活动,明显缩短住院时间,降低并发症,尤其适合高龄、身体基础条件较弱的患者。

【骨科简介】
骨科目前两个病区,开放床位80张,分为关节运动医学、脊柱外科、创伤骨科三个亚专业组。
关节运动医学(骨一科)是医院重点建设学科之一,以“微创技术,快速康复”为服务理念,专注于四肢关节疾病的诊治、膝踝关节韧带损伤的运动功能康复,业务涵盖人工髋膝、肩踝关节置换及二次翻修手术、关节镜下膝踝韧带重建、半月板损伤修复治疗。
特色技术:
(1)人工关节置换术:开展人工全髋关节、全膝关节、肩关节置换及反肩关置换、全踝关节置换等四肢关节置换手术,膝关节单髁置换(UKA)、HTO等保膝手术,特别是DAA微创全髋关节置换能显著缩短住院时间,加速患者康复。
(2)人工关节置换术后松动二次翻修手术:广泛开展髋膝关节置换术后假体松动翻修手术,特别是开展关节置换术后感染一期翻修,一次手术彻底解决感染和松动两大难题,避免多次手术带给患者诸多的痛苦,提高术后生活质量。
(3)关节镜修复技术:膝踝韧带重建、半月板缝合、肩袖破裂修补、肩关节脱位修复、髋关节撞击、踝关节软骨损伤等手术治疗,特别是LARS人工韧带修复膝踝韧带断裂,具有创伤小、恢复快的优点。
【关节运动医学团队】
骨科学科人才梯队结构合理,目前有主任医师5名、副主任医师3名、主治医师7名,医学博士2名、医学硕士7名。

赵良军(关节运动医学)
中共党员,医院副院长,骨科学科带头人、医学博士、博士后、主任医师、硕士研究生导师,曾任广西医科大学第一附属医院教授、主任医师,广西科技大学高层次人才引进,现任广西壮族自治区医疗保障局专家库专家、南宁市医学会医学鉴定专家库成员;任中国人口文化促进会运动损伤委员会委员、广西医师协会创伤与矫形骨科医师分会委员;主持广西自然科学基金等省厅级课题4项,参与国家自然科学基金等省部级课题5项;以第一或通讯作者发表SCI及中华系列等学术论文20余篇。

覃刚(关节运动医学)
中共党员,研究生班,主任医师,关节运动医学病区(骨一科)副主任(主持工作),广西医师协会骨科医师分会委员、广西医师协会脊柱外科专业委员会委员,广西医学会运动医疗分会委员、广西医学会骨质疏松和骨矿业疾病分会委员,柳州市医学会运动医疗分会副主任委员。德国北威州菲尔森骨科医院访问学者,解放军总医院、上海市第六人民医院进修骨科及运动医学。获广西医药卫生适宜技术推广奖三等奖,主持并完成卫健委科研课题1项,发表SCI论文2篇。

罗三彤(关节运动医学)
中共党员,主任医师,广西中西医结合学会骨科分会委员;广西预防医学会第一届伤害预防控制与救治专业委员会委员;柳州市医学会运动医疗学分会委员;柳州市医学会中西医结合骨科分会委员;柳州市预防医学会第一届骨伤病中医防治专业委员会委员。曾到在北京解放军总医院、北京积水潭医院等地进修骨科及运动医学。主持或参与市厅级以上课题2项,发表高水平学术论文3篇。(图文:骨科一病区 龙运涛)