1.神经内科简介

我院神经内科为院级重点学科,是集临床、教学、科研于一体的高水平专业学科,也是区内神经系统疑难罕见病、危重疾病的诊治中心。
科室开放床位数 60 张,设 2 个护理单元(神经内科一病区、二病区),配备独立诊疗团队及护理团队,可充分满足患者诊疗与康复需求。
【科室人员】
科室人才储备充足,梯队结构合理。现有医师 12 名(含硕士研究生 5 名,研究生学历 5 名),其中主任医师 1 名、副主任医师 4 名、主治医师 4 名、住院医师 3 名;护理人员 20 名,其中副主任护师 1 名、主管护师 4 名、护师 7 名、护士 8 名。团队专业技术扎实、临床经验丰富,服务意识强,可胜任各类神经系统疾病的诊疗及护理工作。
学科带头人为院党委副书记、院长,神经内科首席专家、主任医师、研究生导师黄进瑜。擅长帕金森病及运动障碍疾病、脑血管病、痴呆及认知障碍疾病、睡眠障碍、神经遗传疾病、神经系统变性疾病等。现任中国微循环学会神经变性专业委员会委员,广西医师协会神经内科医师分会副主任委员、广西医学会神经病学分会帕金森及运动障碍学组副组长。英国格拉斯哥大学神经病学及神经心理学研究所访问学者。
【科室设备与资质】

经颅多普勒超声:是一种无创、无痛、无辐射、简便、快捷的检测脑血流动态参数技术,对于住院行动不便的患者可以进行床旁监测

肌电图及诱发电位仪:用于检查神经肌肉疾病,比如出现肢体麻木、头晕、行走不稳、听力下降、肌痛、肉跳、震颤等症状以及糖尿病的患者均可进行肌电图检查


视频脑电图:对行动不便的患者也可床旁进行,用于评估脑功能,常用于发作性疾病比如晕厥、癫痫等疾病;脑部感染性疾病、脑血管病、睡眠障碍、昏迷、脑部退行性病变等疾病的协助诊断

为女性患者进行脑电图可不剃发,维护女性美丽形象
科室配备肌电图及诱发电位仪、脑电生理检测系统、经颅多普勒、步态分析系统、眼动数据处理软件等先进诊疗设备,为精准诊断与治疗提供坚实保障。
学科拥有多项高级别资质与平台,包括 “三级卒中中心”“国家级帕金森病一站式诊疗中心”“广西帕金森病诊治重点实验室”“神经变性疾病高级示范中心”,是柳州市溶栓地图 A 级资质单位,技术实力处于区内先进水平。
【科研与教学】
科室承担多项国家级、区级科研项目,荣获广西卫生适宜技术二等奖 2 项、三等奖 2 项,科研成果临床转化效果显著。
作为国家级住院医师规范化培训基地,科室承担神经内科学及相关医学院校的医学教育、毕业后医学教育、继续医学教育工作,教学能力、水平及硬件设施均能满足教学需求,多名教师获区级优秀带教教师称号。
2.神经内科的科室特色有哪些?

学科带头人黄进瑜院长参加学术交流活动


科室因治疗效果良好多次收到患者锦旗

神经内科副主任(主持日常工作)蒙莲(左)代表我院接受三级卒中中心受匾
帕金森病及运动障碍性疾病诊疗



帕金森病脑深部电刺激术(DBS 术)
作为国家级帕金森病一站式诊疗中心,依托广西帕金森病诊治重点实验室,主要收治帕金森病、各类帕金森综合征、帕金森叠加综合征及肌张力障碍疾病患者。
规范化开展一体化综合诊治,协同神经外科开展帕金森病脑深部电刺激术(DBS 术)及病例长期管理,可提供帕金森病运动并发症与非运动症状系统评价、左旋多巴冲击试验、基因遗传病筛查及解读、药物治疗方案优化、DBS 参数程控等全周期诊疗服务,神经调控技术处于区内领先水平。
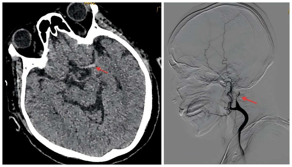
脑血管病全程诊疗技术



脑梗死介入取栓术

颈内动脉支架植入术

经桡动脉脑血管造影术
作为三级卒中中心,在经股动脉或桡动脉穿刺脑血管造影、缺血性卒中超早期静脉溶栓、动脉溶栓、急诊取栓、急性闭塞性血管再通技术、颅内外血管狭窄支架植入术等特色技术领域达到区内先进水平,为脑血管疾病患者提供全流程精准诊疗。
神经免疫疾病诊疗
作为广西免疫专科联盟相关单位,对重症肌无力、多发性硬化、视神经脊髓炎谱系疾病、吉兰 - 巴雷综合征等神经免疫疾病拥有丰富的临床诊治经验,可开展精准诊断与个体化治疗。
癫痫及发作性疾病诊疗

重复经颅磁刺激”治疗处方(rTMS高频刺激右背外侧前额叶)改善神经系统失调
主要收治原发性癫痫、症状性癫痫、难治性癫痫、癫痫持续状态患者。配备先进的脑电监测设备,能精准捕捉癫痫发作时的脑电变化,为诊断、分型及治疗方案制定提供可靠依据。
开展个体化药物治疗、生酮饮食治疗等综合疗法,有效控制癫痫发作;对于难治性癫痫,联合神经外科评估手术适应证,为患者提供手术治疗机会,全面提高患者生活质量。
痴呆及认知障碍相关疾病诊疗
设立专门诊疗小组,由经验丰富的神经内科医生及专业认知功能评估团队组成。通过详细病史采集、全面神经心理测评及必要影像学检查,实现精准诊断与分型。
开展个体化药物治疗、认知康复训练等综合干预措施,延缓疾病进展、改善患者认知功能及生活质量;同时积极开展科普宣传与健康教育活动,提高公众对该类疾病的认识与重视。
头晕(眩晕)疾病诊疗
针对头晕这一常见症状,配备眼震电图仪等先进眩晕诊疗设备,可对良性阵发性位置性眩晕、前庭神经炎、梅尼埃病等各类眩晕疾病进行精准鉴别与诊断。
通过详细症状评估、前庭功能检查及影像学检查明确病因,制定手法复位、药物治疗、前庭康复训练等个体化治疗方案,有效缓解症状;注重长期随访与管理,预防疾病复发。
3.神经内科专家介绍
黄进瑜,党委副书记、院长,学科带头人、神经内科首席专家、主任医师,研究生导师

现任中国微循环学会神经变性专业委员会委员,广西医师协会神经内科医师分会副主任委员、广西医学会神经病学分会帕金森及运动障碍学组副组长。英国格拉斯哥大学神经病学及神经心理学研究所访问学者。
擅长:帕金森病、痴呆、脑血管病、癫痫、神经遗传疾病、神经系统感染性疾病的诊断与治疗。
蒙莲,神经内科副主任(负责科室日常工作),医学硕士,副主任医师

擅长:帕金森及运动障碍疾病、神经免疫性疾病、脑血管病、认知障碍等疾病的诊疗。
陈洪乔,神经内科副主任,副主任医师

擅长:脑血管病、睡眠障碍、神经遗传疾病、神经系统变性疾病、颅内感染、癫痫、周围神经病、脊髓病变、肌肉病变诊疗及神经危急重症抢救,尤其脑血管病的介入诊疗,熟练掌握脑血管造影术、急诊脑动脉介入取栓术、颈内动脉支架植入术、椎动脉支架植入术等。
陈明理,硕士研究生,副主任医师

擅长:神经内科脑血管病介入诊治和神经内科急危重症病人的救治。