近日,我院普外科一病区为一名“胃穿孔+急性化脓性阑尾炎+急性弥漫性腹膜炎”患者进行了一次腹腔镜微创手术,仅用在肚子上打四个小孔,就一次性完成了诊断和手术,完美诠释了通过精准术前规划和巧妙技术融合,为患者提供最个体化、最微创、最优的治疗方案。

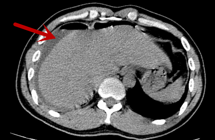
术前CT,箭头所指为腹腔积脓

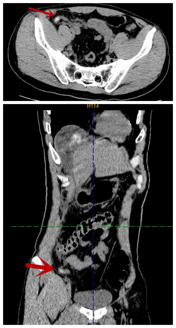
术前CT,箭头所指为阑尾肿胀伴有粪石
37岁男性患者唐某,因突发腹痛8小时于2026年1月8日急诊入院,呈刀割样剧烈疼痛,难以忍受。入院查体:急性病容,腹肌紧张,上腹部、右上下腹部压痛、反跳痛明显,肠鸣音减弱,约1次/分。腹膜炎体征明显,入院予急诊完善腹部CT检查提示:1.气腹,考虑消化道穿孔。2.阑尾粪石,并阑尾炎。3.腹腔积液。因病变部位不同,胃穿孔的病变解剖部位在上腹部,阑尾炎的病变解剖部位在右下腹,考虑要兼顾上下腹、充分显露手术部位等,传统手术需在腹壁开10cm-15cm的较长切口,手术创伤大,恢复慢。医生决定采用腹腔镜手术,只在腹壁打3-4个0.5cm-1.0cm戳孔就能完成手术。

诊断明确,完善术前准备后,患者急诊送手术室。由普外科一病区副主任、主任医师韦义伦主刀,在全身麻醉下行腹腔镜探查。术中腹腔镜下探查见肝周、腹盆腔广泛积黄色混浊脓性液约800ml,腹腔内见脓苔附着,腹膜炎性充血潮红,胃幽门管前壁见一直径约0.8cm溃疡穿孔,周围组织稍水肿,大网膜、小肠与右上腹壁粘连,肝脏未见异常,腹、盆腔未见异常结节。回肠与右下腹壁粘连,阑尾位于盲肠下方,尖端指向盆腔,阑尾长约8cm,直径约1.5cm,明显充血肿胀,表面覆有脓苔,阑尾腔内有多粒粪石,最大的大小约1.5×1.2cm。予行腹腔镜下胃幽门管前壁溃疡穿孔修补术+溃疡活检术+阑尾切除术+肠粘连松解术+腹、盆腔冲洗引流术,手术耗时2小时余,术后恢复快,术后4天恢复流质饮食,术后5天出院。

术前(腹腔):腹腔积脓 手术冲洗干净后(腹腔)

术前(盆腔):盆腔积脓 手术冲洗干净后(盆腔)

胃穿孔部位 缝合修补后

化脓性阑尾炎 切除阑尾

术后照片
韦义伦副主任说,当疾病来临,我们追求的不仅是治好病,更是用最人性化的方式,帮助患者以最小的代价,重返健康生活。我院普外科一病区熟练开展各式腹腔镜手术,微创、损伤小、疼痛轻、恢复快。术后患者恢复良好,既减少患者创伤、减低术后感染风险、缩短住院时间,还降低了总体治疗费用。(文字来源/宣传科 胡萍 图片来源/普外科一病区 )