近日,广西科技大学第一附属医院普外科一病区成功为一名60岁男性患者实施急诊腹腔镜下膈疝嵌顿复位修补术,患者术后恢复良好,已顺利出院。该病例再次彰显了医院在疝疾病微创治疗方面的技术实力与应急救治能力。
病例回顾:突发腹痛,竟是膈疝嵌顿
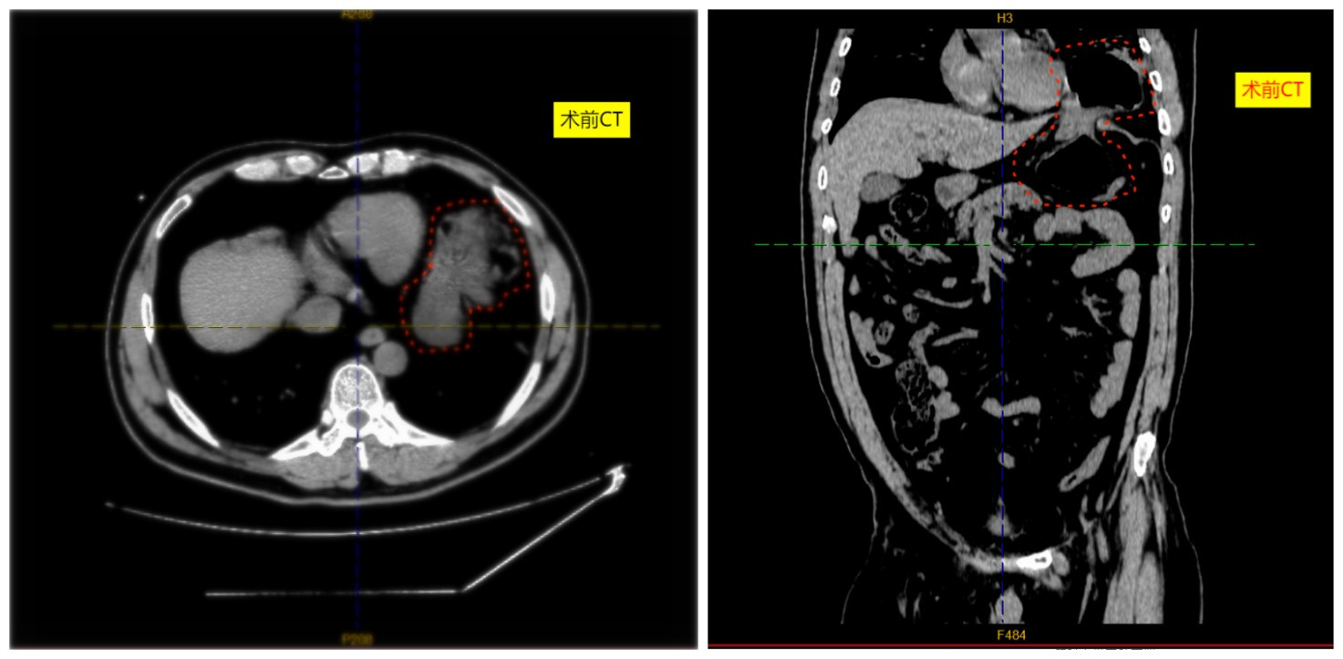
患者冯先生(化名),60岁,因“腹胀腹痛8小时”紧急来院。此前他曾有反复上腹痛史2年余,此次发病突然,疼痛剧烈。急诊CT检查提示:膈疝并嵌顿,由于疝内容物(约1/3胃及大网膜)已嵌入胸腔,如不及时处理,可能导致嵌顿组织缺血坏死、感染甚至危及生命,情况危急!

术前CT影像,显示胸腔内嵌顿脏器

腹腔镜手术见膈疝嵌顿及疝缺损
普外科一病区团队迅速响应,在完善术前准备后,由李国玉副主任医师主刀,急诊行腹腔镜下膈疝嵌顿复位+膈疝修补术。术中可见疝内容物嵌顿严重,手术团队凭借丰富的经验与娴熟的腔镜技术,成功将疝内容物复位,并实施修补。

腹腔镜下疝修补+补片加强


腹腔镜手术场景,李国玉副主任医师正在操作(中)
由于手术及时,患者未出现组织缺血坏死、感染;且微创手术,精准、创伤小、出血少,患者回复快,术后次日可下床。在护理团队的精心照护下,患者腹痛腹胀症状消失,呼吸平稳,饮食逐渐恢复,近日已康复出院。

李国玉副主任医师在病房查看患者恢复情况

术后患者恢复良好,腹部仅存微小切口
科普:什么是嵌顿疝?为何如此危险?
嵌顿疝是指疝内容物(多为肠管或网膜)突出后不能回纳,导致血液循环受阻,若不及时处理,可能引发肠坏死、穿孔、腹膜炎等严重并发症,甚至危及生命。尤其是膈疝嵌顿,因位置特殊,易压迫心肺,病情进展迅猛,须紧急手术干预。
我院普外科一病区长期致力于各类疝疾病的微创手术治疗,包括:成人腹股沟疝;小儿疝;脐疝、切口疝;膈疝、食道裂孔疝等。技术特色包括:创伤小、疼痛轻:腹腔镜手术仅需几个小孔,术后疼痛明显减轻;恢复快、住院短:多数患者术后次日即可下床,住院时间明显缩短;复发率低:采用现代修补材料与技术,复发率显著降低;美观性好:几乎不留明显疤痕。
普外一病区专家提醒:疝气虽常见,但嵌顿疝属急症,切勿拖延。如有突发腹痛、肿块不能回纳、呕吐等症状,请立即就医。我院普外科一病区为您的健康保驾护航。
专家简介
李国玉 副主任医师

从事普通外科专业工作15余年,对普外科胃肠道肿瘤、急腹症、肛肠等疾病积累了丰富的临床诊疗经验,长期专注于疝与腹壁外科疾病的诊疗,尤其在各类疝的腹腔镜微创手术方面经验丰富,技术娴熟。他秉承“精准、微创、快速康复”的理念,已成功完成众多复杂疝手术,在国家级医学期刊发表医学论文数篇,目前主持省级科研课题1项。
擅长:腹腔镜疝手术、胃肠外科常见疾病及肛肠疾病的微创手术治。
咨询电话:0772-2699149
门诊时间:周一至周五 上午8:00-12:00 15:00-18:00
(图文来源/普外一病区 李国玉 宣传科 胡萍)