近期,全社会对中青年心源性猝死的高度关注。惋惜之余,大家也开始深刻反思:为什么看似健康的身体,突然就崩塌了?猝死防不胜防,但影像筛查有迹可循。今天,放射科专家带你拆解心脏健康防线,认识两位守护心脏的“超级卫士”:冠状动脉钙化积分与冠状动脉CTA。
看不见的“污垢”:冠状动脉钙化积分
想象一下,血管壁上悄悄附着了一些坚硬的“钙化水垢”,您看不见,但它们在慢慢侵蚀血管弹性:
1.钙化积分是做什么的?
这是一项无创、无需注射造影剂的平扫检查。它就像给血管做了一次“灰度扫描”,数一数上面有多少钙化点。
2.钙化积分的核心价值:
(1)风险定量:通过数据评分,准确告诉您,您的血管未来10年发生心梗的风险是低、中还是高;
(2)定心丸:如果评分是0分,恭喜您,目前血管里没有钙化病变,短期心血管事件风险极低,可以大大放宽心。
3.适合谁?
40岁以上无症状人群常规筛查必备;高血压、糖尿病、高脂血症、长期吸烟、肥胖、有早发冠心病家族史的高危人群;心电图、心脏超声无异常,但频繁出现胸闷、心悸的人群。
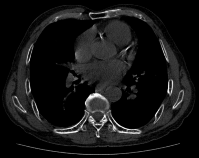
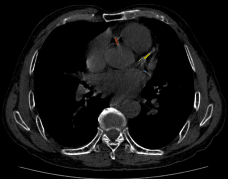
深度“3D全景体检”:冠脉CTA



高清透视镜:冠状动脉CTA
1.它是做什么的?
注射少量碘造影剂后,通过CT扫描,计算机能把心脏血管的走行、分支、狭窄处重建出一张高清的3D立体图像。
2.它的核心价值:
(1)无创诊断冠心病“金标准”:对冠状动脉显著狭窄(≥50%)的诊断敏感度、特异度均超90%,阴性预测值接近99%——检查结果正常,基本可排除冠心病,避免不必要的有创造影,减少患者痛苦与风险;
(2)揪出“隐形杀手”易损斑块:不仅能判断血管狭窄程度,更能精准识别钙化斑块、非钙化斑块(软斑块)、混合斑块,尤其是易损斑块。这类斑块看似稳定,却可能突然破裂引发急性心梗,是猝死的核心隐患,而传统检查难以发现,CTA能提前3-5年锁定风险;
(3)术后随访“好帮手”:可评估冠脉支架术后通畅性、搭桥术后血管桥形态,为术后干预方案调整提供精准依据。



温馨提示:别让恐惧挡住了健康
很多病人对CT检查有两个误区:
1.怕辐射:低剂量螺旋CT技术,辐射剂量已控制在安全范围内,偶尔一次检查对身体微乎其微,利远大于弊。
2.怕造影剂:正规医院会在检查前评估肾功能,检查中使用非离子型造影剂,安全系数高。
与其担心明天,不如今天就给心脏做一次“排雷”。早筛查、早发现、早干预,让生命更安心!
地点:广西科技大学第一附属医院医技楼放射科
咨询热线:0772-2514407
放射科始终以精准影像为临床护航,以温情服务守护患者健康。