近日,患者小雅(化名)将一面写有“匠心精矫换美齿,妙手正畸展笑颜”的锦旗送到了广西科技大学第一附属医院口腔门诊部口腔正畸科专家杨珍手中,再三感谢杨珍主任医师及口腔科门诊全体医护团队帮她解决了多年的牙齿困扰,重拾自信笑容。

杨珍主任医师(左)与患者(右)合影留念

口腔科门诊医护人员与患者合影留念
多年“牙缝”困扰,正畸助她华丽蜕变
小雅自幼便存在门牙牙缝伴牙列不齐的问题。随着年龄增长,不仅面型受到了影响,吃饭咀嚼也常常感到不适,甚至因为牙齿问题,她在社交中总是下意识地“笑不露齿”,内心充满了自卑。“以前拍照从来不敢露齿笑,总觉得自己的侧脸不好看。”小雅回忆道。工作后,她终于下定决心改变自己。多方打听、对比之后,她慕名来到了我院口腔正畸科,找到了杨珍主任医师。
经过详细的口腔检查、拍摄X光片、取模分析,杨主任为小雅制定了一套个性化的矫正方案——非手术正畸治疗,通过佩戴固定矫治器,逐步调整牙齿排列及颌骨关系。一年多来,在杨主任的精准把控和小雅的积极配合下,她的牙列不齐及牙缝问题得到了显著改善,牙齿排列整齐,面型也更加协调流畅。

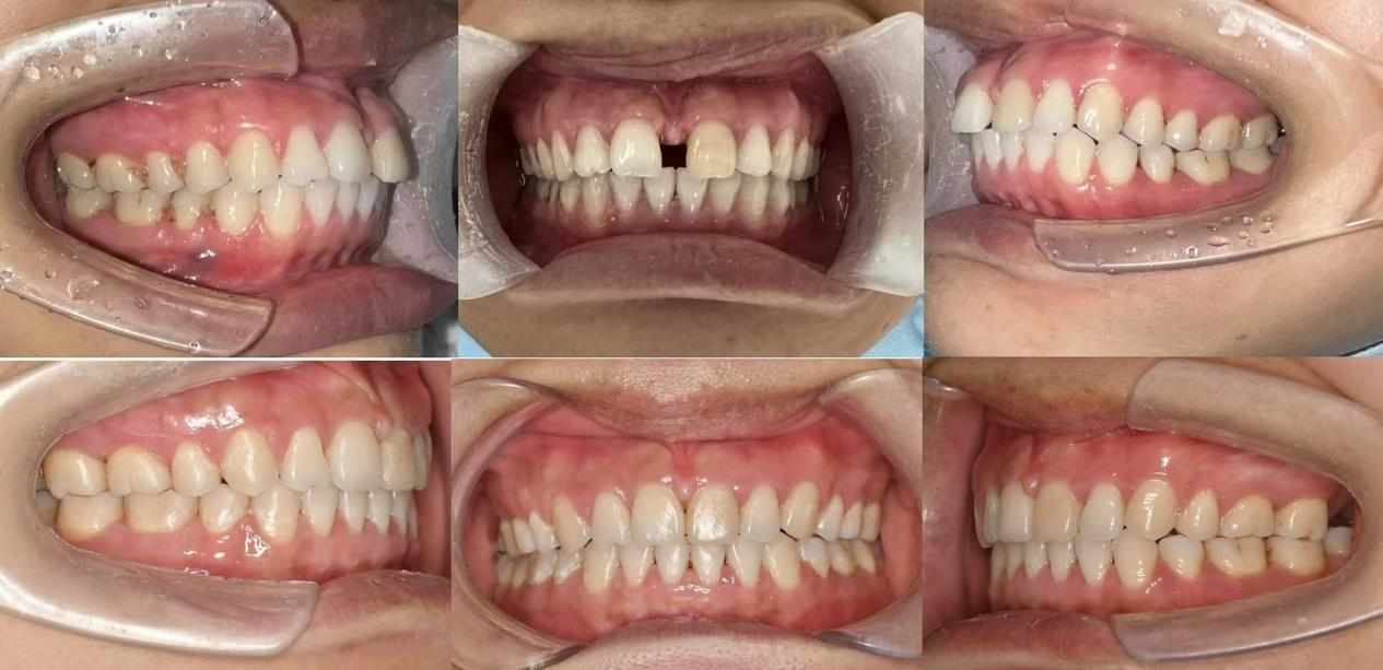
患者治疗前(上)治疗后(下)口内对比图

患者治疗前(上)治疗后(下)面型对比图
“现在每次照镜子看到整齐的牙齿,心情都特别好。同事们也说我笑起来更好看了,真的非常感谢杨主任和整个口腔科团队!”小雅激动地说。
专业铸就品质,匠心成就美齿
这面锦旗,只是我院口腔门诊部众多患者感谢案例中的一个缩影。一面锦旗,一个故事,一份感动。它传递的不仅是患者的感激之情,更是对医院服务品质的认可,对医者仁心的最好证明。
我院口腔门诊部拥有一支技术精湛、经验丰富的专业医师团队,配备国际先进的诊疗设备,常规开展:青少年及成人固定矫治、儿童早期矫治、显微根管治疗、牙体微创美学修复、牙周病系统治疗、微创拔牙、口腔小肿物切除、种植修复、儿童牙外伤的处理、活动修复等口腔专科诊疗操作,我们始终秉持“以患者为中心”的服务理念,从初诊检查、方案设计到治疗完成、保持期随访,实行全流程精细化管理和人文关怀,让每一位患者都能在轻松、舒适的氛围中完成蜕变。如果您也正被牙齿不齐、面型不佳等问题所困扰,不妨给自己一个改变的机会。
就诊指南
科室:广西科技大学第一附属医院口腔门诊部
地址:柳州市三中路36号
门诊时间: 周一至周日 8:00-12:00,14:30-17:30(节假日以公告为准)
爱牙热线:0772-2838931
(本文患者信息已做隐私处理,照片使用已获本人授权)