每年的暑假是正畸治疗的“高峰期”,许多家长前来正畸科咨询并寻求正畸治疗,其中大部分是6~12岁的替牙期青少年。有些家长认为出现错𬌗畸形需要等到牙齿全部替换完毕才能进行正畸治疗,但是对于反合这一常见的错合畸形,需要尽早干预疗。
“地包天”,专业上称为反合,是一种常见的错合畸形,主要表现正中咬合时为下前牙咬合于上前牙的唇侧,严重的骨性“地包天”可以表现为全牙列反咬合、上颌发育不足、面中部凹陷、下颌发育过度,下巴颏突出,面下1/3过长的“新月脸”样面形甚至“长面综合征”,严重影响颌面部的美观。
“地包天”的病因复杂多样,可分为遗传因素和生长发育过程中环境的影响。伸舌、吮指、咬上唇等不良口腔习惯也是“地包天”的病因。及时矫治“地包天”对于口腔健康和颌面部的美观具有重要意义。

(咬唇、吐舌等不良口腔习惯可能引起“地包天”)
正畸医生会根据不同的表现和病因为患者制定个性化的治疗方案。
对于乳牙期的小朋友,通常适合进行“地包天”矫治的年龄在4~5岁,常使用较为简单的固定或活动的颌垫矫治器或功能矫治器,并及时纠正不良口腔习惯。这个阶段的小患者通常较少出现骨性的异常,所以矫治时间较短,过程相对简单。乳牙反合的矫治也有利于恒牙将来建立正常的咬合。
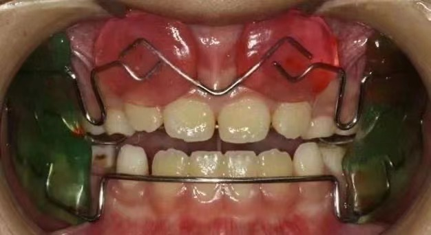
替牙期(通常为7~12岁)的“地包天”,需要根据牙性、功能性、骨性进行诊断,分类矫治。对于上颌骨发育不足引起的骨性“地包天”,在替牙期应当及时对上颌骨进行矫形治疗,利用生长发育期通过上颌骨扩弓和前方牵引,促进上颌骨发育;对于下颌骨发育过度引起的骨性“地包天”,则通过头帽、颏兜等矫形装置抑制下颌骨的过度发育。替牙期的早期干预,很大一部分可以避免反合畸形的进一步加重,使恒牙期的反合畸形严重程度大大降低,也降低成人严重骨性“地包天”的手术率。




(早期矫治常用的颌垫矫治器、2×4技术、前方牵引、功能矫治器)
恒牙期的“地包天”患者,由于生长发育高峰期已过,只能通过常规的固定矫治或者隐形矫治改善咬合关系,解除“地包天”咬合关系,也能一定程度上改善面形;而对于恒牙期严重的骨性“地包天”,则往往要采取正颌-正畸联合治疗的方案。


(口腔门诊部反𬌗矫治案例)
牙齿“地包天”,早期的干预很重要,对一些生长发育期的青少年儿童,及时进行早期矫治,可以避免牙齿问题进一步恶化,确保牙列、咬合以及颌面部骨骼的正常发育。
图文来源:口腔门诊部