放射医学是医学领域中一个至关重要的分支,专注于使用各种成像技术来诊断和治疗疾病,检查设备没有普及的之前,没有X光、B超或CT检查,医生们很难查看体内具体情况,往往只能凭经验诊断疾病。今天我们就来揭开放射科的神秘面纱,了解那些关于放射科检查的常见问题。

什么是放射科检查?
放射科检查是一种使用放射线技术来探视人体内部结构的医学成像方法,这包括了我们常听说的X射线、CT,以及其他一些专业化的检查技术如PET、MRI(无辐射)。通过这些高精度的成像技术,医生可以通过成像观察到人体内部的器官、骨骼以及血管等详细结构,这对于诊断各类疾病具有极其重要的意义。
辐射危害大吗?
我国影像学专业规定,医院放射科工作的医务人员,每年接受的辐射剂量不能超过20mSv,普通公众一年内接受的辐射量不超过5mSv,在这个范围内是相对安全的。但这是针对正常成年人的,对于一些特殊人群,比如儿童、孕妇、哺乳期妇女,应该尽量避免接触人工辐射。如果受到大剂量辐射照射,人体健康会受到严重损害,如:影响骨骼生长发育,引起发育畸形;影响视力发育;长期大剂量辐射,可对人体循环系统、神经系统、免疫系统等造成伤害。资料显示,只有遭受100mSv以上的辐射量,人体患癌的概率才会有比较明显的增加。
检查前是否可以进食?
对于一些放射科检查,准备工作的目的是为了确保检查的准确性和有效性。例如,在进行腹部CT扫描之前,通常需要空腹。因为消化过程会导致胃肠道内气体的积聚,实物残渣也会影响到图像的质量和清晰度。如果您需要接受腹部CT扫描,医生会告诉您具体的禁食时间,通常是6至8个小时。
不同的放射科检查有不同的进食要求:例如,对于经口摄影(口服造影剂),会要求患者在检查前饮用一定量的造影剂,以增强消化道的显像效果。而对于其他检查,如X射线检查,一般没有进食限制。
进食与否的决定是根据具体检查的需要和患者的情况来确定的。所以在检查前,重要的是向放射科医务人员咨询,了解是否有进食限制或特殊要求。
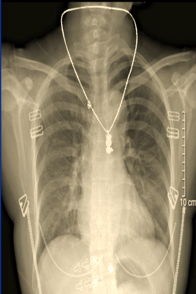
为什么要去除金属首饰?
金属首饰包括项链、手链、戒指等,这些物品由金属制成,可以对放射线产生影响。如果在进行放射科检查时仍戴着金属首饰,它们可能会干扰图像的质量,并干扰医生对患者的准确诊断。因此,在进入放射科之前,患者需要注意将金属首饰摘下来。

检查过程中会有痛苦吗?
大多数放射科检查过程是比较舒适的,不会带来明显的痛苦。X线检查时间很短,你只需要按照要求摆好姿势,几乎感觉不到什么不适。CT 检查虽然时间稍长一些,但在扫描过程中,你也不会有疼痛感,只是可能会听到机器发出的一些嗡嗡声。MRI检查由于时间较长,而且检查空间相对狭小,可能会让部分人产生幽闭恐惧感。不过,现在很多医院的MRI设备都配备了音乐播放功能,你可以选择自己喜欢的音乐来缓解紧张情绪。同时,检查过程中,技师会通过对讲机与你保持联系,如果你感到不适,可以随时告知技师。
放射科诊断报告为什么会“慢”
日常我们在做影像学检查时,通常需要等待0.5-2个小时左右才能够拿到诊断结果,部分患者需要将诊疗时间延长至第二天。因为放射科的诊断报告是由放射科的医师书写,并不是机器自动生成的,所以不能够在检查结束同时出具诊断报告。另外,诊断报告中需要放射科医师需要反复地观察影像学资料、综合临床病史、体征及相关实验室检查,确保给出诊断意见的准确性,在报告初步生成后,还需要进行反复的审核,这样才能够发放至患者的手中。这一系列的操作,会延长患者的等待时间。
放射科检查虽然看似神秘,但只要我们了解了相关知识,就会发现它并没有那么可怕。