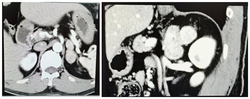
48岁男性患者,因体检发现左侧肾上腺占位20年,近年来多次院外就诊,建议手术切除肿瘤,但患者担心手术风险和术后肾上腺功能不足等问题,迟迟未能下定决心。此次在家人的建议下入住广西科技大学第一附属医院泌尿外科。入院后完善CT等检查提示左侧肾上腺肿瘤,大小约5.6×4.0cm,考虑嗜铬细胞瘤可能性大,有明确手术指征。

医生发现,该患者23年前于我院泌尿外科行开放右侧肾上腺嗜铬细胞瘤切除手术,术后患者恢复良好。23年间,右侧肾上腺肿瘤无复发。此次就医,患者仍选择我院就诊。查房期间,患者感慨道:“23年前老主任给我做了手术,术后恢复一直很好,虽然现在老主任退休了,我相信也会有接班人能够给我做好这个手术”。在患者的殷殷期盼中,术前相关检查随即展开,泌尿外科主任吴尔岸主持院内多学科讨论,为患者制定了详细的治疗方案,充分考虑了术中可能出现的问题及解决方案。

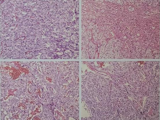
手术由泌尿外科吴尔岸主任医师主刀,考虑患者肿瘤偏大,瘤体与肾动静脉、胰尾、脾脏等关系密切,选择经腹入路,整个医师团队密切配合,依次分离显露出肾上腺及周围血管脉并将其夹闭,完整切除肾上腺及其肿瘤,手术过程少量出血,术中患者血压波动巨大,收缩压最高达240mmHg,最低达60mmHg,在麻醉科曾金主任团队努力配合下,手术过程有惊无险,得以顺利完成。术后患者恢复良好,康复出院。病理结果为嗜铬细胞瘤。

切除的肾上腺及肿瘤

术后病理

23年前开放手术切口约15cm

微创手术切口约4cm
什么是嗜铬细胞瘤?嗜铬细胞瘤是一种罕见但严重的肿瘤(约占高血压病因的0.5-1%。90%以上的患者可经手术治愈),各年龄段均可发病,但发病高峰为30~50岁,男女发病率基本相同,它起源于肾上腺髓质的嗜铬细胞。肾上腺左右各一,位于肾脏上方。肾上腺分为外部的皮质和内部的髓质,而嗜铬细胞则位于髓质内。因为这种细胞对元素铬特别有亲和力,可被铬染成棕色,故称为嗜铬细胞。
本病最常见的临床表现是阵发性高血压。因儿茶酚胺的释放可呈持续性、阵发性,使患者的血压变化较大,阵发性高血压、持续性高血压、持续性高血压阵发性加剧,或表现为高血压与低血压相交替、甚至出现休克、晕厥等。高血压发作时伴头痛、心悸、多汗三联征对本病的诊断具有重要意义,但出现典型三联征的患者不足25%。某些患者可因长期高血压致严重的心、脑、肾损害或因突发严重的高血压而危及生命,但若能早期获得诊治,则是有望治愈的一种继发性高血压病。此外,嗜铬细胞瘤患者可因基础代谢增高引起发热、消瘦,因糖代谢紊乱出现高血糖、脂代谢紊乱致血游离脂肪酸增高,少部分患者可有电解质紊乱,如低钾血症、高钙血症等。
嗜铬细胞瘤最主要的治疗方法通常是通过手术直接切除肿瘤。目前临床上多采用腹腔镜微创治疗,肿瘤较大时需行开放手术。由于肾上腺嗜铬细胞瘤患者血液中的儿茶酚胺增高所致周围血管长期处于收缩状态,血容量相对较低,切除肿瘤后儿茶酚胺含量减少,血管舒张,导致血压急剧下降,术中、术后出现难以纠正的低血容量休克,甚至危及生命,最初手术死亡率高达 3%~50% ,随着医疗技术和麻醉管理的改进,死亡率已明显降低。围术期需注意充分的术前准备细致的术中操作和严密的术后监护。
图文来源/泌尿外科 李忠健