网站首页
医院概况
医院简介
现任领导
院容院貌
就医指南
便民措施
就诊须知
就诊须知
就诊流程
门诊分布
入院须知
入院须知
入院流程
出院须知
出院须知
出院流程
出诊信息
医保指南
柳州职工医保
柳州居民医保
来宾职工医保
医院交通
科室导航
内科
神经内科
心血管内科
呼吸内科
内分泌科
消化内科
肾内科
风湿免疫学科
肿瘤血液内科
老年医学科
外科
神经外科
胸心血管外科
关节外科
脊柱外科
创伤骨科
乳腺外科
普外一病区
普外二病区
泌尿外科
耳鼻咽喉头颈外科
医疗美容整形外科
医疗美容门诊部
妇产科
妇科
产科
儿科
儿科
其它临床科室
急诊科
重症医学科
麻醉科
康复医学科
中医科
全科医学科
眼科
皮肤科
感染性疾病科
口腔科
口腔门诊部
医技科室
放射科
超声诊断科
心脑电生理科
医学检验科
输血科
临床营养科
病理科
药学部
高压氧科
其它科室
健康体检管理中心
预防保健科
儿保科
医务部
护理部
新闻中心
专题专栏
精彩视频
媒体关注
党群工作
党建园地
主题教育
党史学习教育
我为群众办实事
青年风采
职工文化
文明医院
清廉医院
廉政建设
专项惩腐
全区医药领域腐败问题集中整治
领导干部利用职权或影响插手工程项目谋私贪腐问题专项整治
医疗物资采购腐败问题专项整治
深入纠治医疗卫生邻域腐败和作风问题专项整治
普法知识
清廉账户
教学科研
学院动态
教学天地
学院介绍
办学特色
专业特色
师资队伍
健康科普
住培专栏
图书馆
信息公开
院务公开
人事招聘
采购公告
医院概况
医院简介
现任领导
院容院貌
就医指南
便民措施
就诊须知
入院须知
出院须知
出诊信息
医保指南
医院交通
科室导航
内科
外科
妇产科
儿科
其它临床科室
医技科室
其它科室
新闻中心
专题专栏
精彩视频
媒体关注
党群工作
党建园地
青年风采
职工文化
文明医院
清廉医院
廉政建设
专项惩腐
普法知识
清廉账户
教学科研
学院动态
教学天地
健康科普
住培专栏
图书馆
信息公开
院务公开
人事招聘
采购公告
当前位置:
网站首页
·
新闻中心
新闻中心
专题专栏
精彩视频
媒体关注
20
2022.08
“医”心向党 踔厉奋进——广西科技大学第一附属医院举行庆祝第五个“中国医师节...
8月19日下午,广西科技大学第一附属医院在学术报告厅隆重举行庆祝第五个“中国医师节”表彰大会。大会表彰了从医30年的8名医务工作者、10名“最美医生”、优秀抗疫医生以及在教学、科研等方面取得优秀的个人与集体。...
20
2022.08
“致敬白衣天使,你们辛苦了!”
8月19日,时值第五个“中国医师节”来临之际,广西科技大学第一附属医院党委书记庞晓红、党委副书记、院长覃天等党政领导班子成员分组来到临床科室,给在节日里仍坚守在岗位的白衣天使送来了祝福。党委书记庞晓红党委...
20
2022.08
【最美医生】脑内植入芯片,帕金森患者重获“新生”——黄进瑜
神经内科主任黄进瑜,率先开展早期帕金森病高危人群筛查,建立柳州市帕金森病患者临床数据库。她还引进国家外专局国外技术管理人才项目,分别邀请德国及以色列高级专家就帕金森病诊治新进展进行培训及学术交流,显著...
20
2022.08
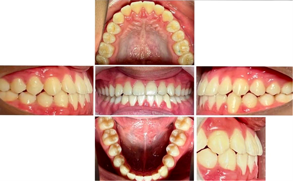
正畸改变牙齿,笑容改变人生
越来越多的青少年儿童乃至成人患者来到口腔门诊部口腔正畸科咨询和治疗,希望解决一些错合畸形的问题,比如:龅牙、开唇露齿、牙齿不齐、地包天、开合、牙齿间隙过大等。 错合畸形是指在生长发育...
19
2022.08
广西科技大学第一附属医院团委举办“传统节日·七夕节”——“青春有约,与你奋进”...
为进一步解决单身青年职工婚恋交友现实需求,切实想广大单身职工所想、急广大单身青年所急,丰富其业余文化生活,搭建跨单位、跨行业的良好交友平台。 8月7日,柳州市“我们的节日”系列主题活动...
19
2022.08
老年病人如何就诊更方便
随着社会的进步与发展,人口老龄化成为我国当今存在的问题,同时人口老龄化在医疗上也带来了前所未有的挑战。人进入老年期后,身体组织结构逐渐老化,各器官功能逐步出现障碍,身体抵抗力开始下降,活动能力降低,以...
16
2022.08
免费!2022“蓝橙丝带”言语健康公益活动(广西科技大学第一附属医院站)
言语语言是人类学习、工作和生活的基础,中国有数千万从婴儿到老年人的各个年龄段的言语语言、沟通及吞咽障碍人士,为响应国家《“健康中国2030”规划纲要》,把健康科普列为工作首位的号召,广西科技大学第一附属医...
16
2022.08
抗疫日记:无惧“烤”验,我们是团结的“大白”
有这样一个训练有素队伍每天不畏酷暑,每天都在北海市街头走街串巷:上门采核酸。他们穿着密不透风的防护服,是一群团结的“大白”。 每天打卡海城区“快、轻、准” 烈日下,他们在海城区、...
首页
上页
1
...
164
165
166
167
168
...
228
下页
尾页